中文名稱: 兔抗ABCC1多克隆抗體
英文名稱: Anti-ABCC1 rabbit polyclonal antibody
別 名: MRP; ABCC; GS-X; MRP1; ABC29
抗 原: ABCC1
儲 存: 冷凍(-20℃)
宿 主: Rabbit
相關類別: 一抗
反應種屬: Human
標 記 物: Unconjugate
克隆類型: rabbit polyclonal
技術規格
|
Background: |
The protein encoded by this gene is a member of the superfamily of ATP-binding cassette (ABC) transporters. ABC proteins transport various molecules across extra-and intra-cellular membranes. ABC genes are divided into seven distinct subfamilies (ABC1, MDR/TAP, MRP, ALD, OABP, GCN20, White). This full transporter is a member of the MRP subfamily which is involved in multi-drug resistance. This protein functions as a multispecific organic anion transporter, with oxidized glutatione, cysteinyl leukotrienes, and activated aflatoxin B1 as substrates. |
|
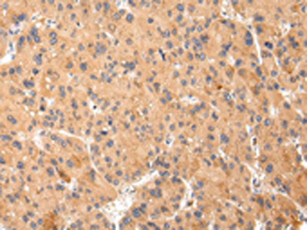
Applications: |
ELISA, IHC |
|
Name of antibody: |
ABCC1 |
|
Immunogen: |
Synthetic peptide of human ABCC1 |
|
Full name: |
ATP-binding cassette, sub-family C (CFTR/MRP), member 1 |
|
Synonyms: |
MRP; ABCC; GS-X; MRP1; ABC29 |
|
SwissProt: |
P33527 |
|
ELISA Recommended dilution: |
2000-5000 |
|
IHC positive control: |
Human liver cancer and Human esophagus cancer |
|
IHC Recommend dilution: |
25-100 |
購物車
幫助
021-54845833/15800441009
