中文名稱:兔抗CAPZA2多克隆抗體
英文名稱: Anti-CAPZA2 rabbit polyclonal antibody
別 名: CAPZ; CAPPA2
相關類別: 一抗
標 記 物:Unconjugate
克隆類型: rabbit polyclonal
技術規格
|
Background: |
The protein encoded by this gene is a member of the F-actin capping protein alpha subunit family. It is the alpha subunit of the barbed-end actin binding protein Cap Z. By capping the barbed end of actin filaments, Cap Z regulates the growth of the actin filaments at the barbed end. |
|
Applications: |
ELISA, WB, IHC |
|
Name of antibody: |
CAPZA2 |
|
Immunogen: |
Fusion protein of human CAPZA2 |
|
Full name: |
capping protein (actin filament) muscle Z-line, alpha 2 |
|
Synonyms: |
CAPZ; CAPPA2 |
|
SwissProt: |
P47755 |
|
ELISA Recommended dilution: |
1000-2000 |
|
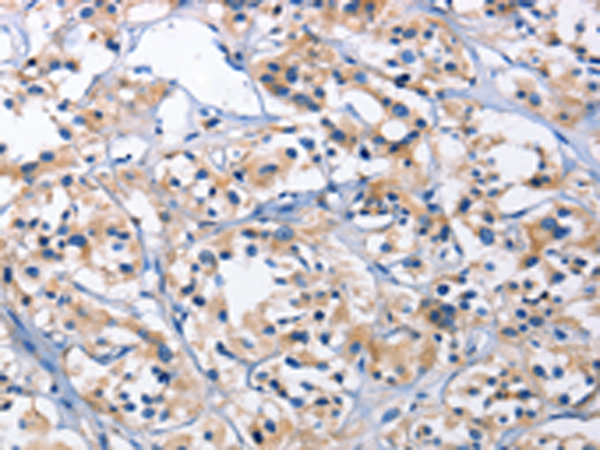
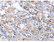
IHC positive control: |
Human thyroid cancer and human gastric cancer |
|
IHC Recommend dilution: |
25-100 |
|
WB Predicted band size: |
33 kDa |
|
WB Positive control: |
Hela cells, mouse brain and heart tissue |
|
WB Recommended dilution: |
200-1000 |


購物車
幫助
021-54845833/15800441009
