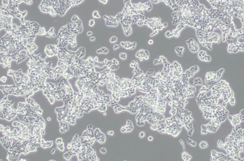
ZR-75-1人乳腺癌細胞
Catalogue No : C111
Product Format : a T25 flask
Culture Properties : 貼壁
Complete Growth Medium : 89%H-DMEM+10%FBS+1%雙抗
Atmosphere : air, 95%; carbon dioxide (CO2), 5%
Application : Cells and cancer research
NOTE : FOR RESEARCH USE ONLY
Operation steps for cell culture
1. 吸走用于培養基,加入3-5mL PBS后輕輕晃動培養瓶潤洗細胞;
2. 吸干凈PBS后加入1mL 0.25%胰酶-0.53mM EDTA,輕輕搖晃培養皿使胰酶浸沒細胞表面,培養瓶放37度培養箱消化;(細胞對于消化比較敏感,消化過度會嚴重影響細胞狀態,導致細胞傳代死亡漂浮或者傳代后不長。細胞消化到細胞間隙變大但未脫落,可以輕輕吹下時即可終止,禁止消化到細胞完全漂浮。混勻細胞時盡量輕柔,不要吹出大量氣泡。)
3. 加入6-8ml完全培養基終止消化,輕輕吹下細胞混勻;
4. 將混勻的細胞1000rpm(約150g)離心3min,棄上清,再用新鮮培養基重懸37度培養箱繼續培養;
傳代比例 : 不同細胞生長速度不一,具體傳代比例視細胞生長速度而定,大部分細胞適用1:3-1:4傳代,生長較慢的細胞可以1:2傳代。
Cell cryopreservation
1. 凍存液:92%完全培養基+8%DMSO(可以根據實驗室條件自行選擇)
2. 降溫步驟:4度10min,-20度2h,-80過夜后液氮保存。
Tips
1. 細胞經過運輸后,部分細胞由于溫度變化及劇烈碰撞死亡破碎形成碎片,是正常現象。貼壁細胞可以消化,懸浮細胞直接混勻收集細胞,900-1000rpm(約150g)離心3min,棄上清。加5ml PBS重懸細胞,再900-1000rpm(約150g)離心3min,用新鮮的完全培養基重懸接種到新的培養瓶。第二次PBS重懸是為了去除碎片,如果平時碎片比較少,傳代時可以省略PBS重懸的步驟;如果碎片很多,建議PBS多洗幾次。
2. 細胞生長不均時,可以將細胞消化吹散后加入新的培養基重新接種或傳代。
3. 細胞生長緩慢時,可以選擇提高血清濃度培養(最高不超過20%),也可以根據細胞生長狀態,選擇傳代細胞到新的培養瓶中繼續培養。
4. 不同細胞貼壁性差異比較大,所以消化時間差別較大,20s-10min均有可能,具體以細胞消化到相互分離但未脫落,并可以輕輕吹下為準,嚴禁消化到細胞完全漂浮。客戶消化過度導致細胞死亡、漂浮、生長緩慢,不提供免費售后服務。
5. 干冰發貨均為兩支,客戶先復蘇一支,若復蘇失敗及時聯系我方并在我方指導下復蘇第二支。若客戶同時復蘇兩支均狀態不佳,我方不提供免費售后服務。
6. 細胞狀態正常時,應盡快凍存細胞保種,凍存后應隨機抽取一支檢測凍存效果。我方不對客戶凍存細胞導致死亡負責,客戶凍存細胞死亡不提供免費售后服務。
Notice
客戶收到細胞有任何疑問請及時致電我們,細胞收到后1周內沒有任何電話,或其他形式回訪,默認為細胞質量沒問題,之后出了任何問題不給予免費售后。細胞免費售后只提供一次,若重發后再次培養死亡不再免費補發,細胞收貨時已經死亡或密度不足的除外。
購物車
幫助
021-54845833/15800441009
