中文名稱 : 兔抗PLA1A多克隆抗體
英文名稱 : Anti-PLA1A rabbit polyclonal antibody
別 名 : PSPLA1; PS-PLA1
儲 存 : 冷凍(-20℃) 避光
抗 原 : PLA1A
宿 主 : Rabbit
反應種屬 : Human
相關類別 : 一抗
標 記 物 : Unconjugate
克隆類型 : rabbit polyclonal
技術規格
|
Background: |
The protein encoded by this gene is a phospholipase that hydrolyzes fatty acids at the sn-1 position of phosphatidylserine and 1-acyl-2-lysophosphatidylserine. This secreted protein hydrolyzes phosphatidylserine in liposomes. Three transcript variants encoding different isoforms have been found for this gene. |
|
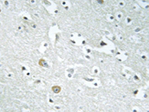
Applications: |
IHC |
|
Name of antibody: |
PLA1A |
|
Immunogen: |
Synthesized peptide derived from internal of human PLA1A. |
|
Full name: |
phospholipase A1 member A |
|
Synonyms: |
PSPLA1; PS-PLA1 |
|
SwissProt: |
Q53H76 |
|
IHC positive control: |
Human brain tissue |
|
IHC Recommend dilution: |
50-100 |
購物車
幫助
021-54845833/15800441009
