中文名稱: 兔抗PAPSS1多克隆抗體
英文名稱: Anti-PAPSS1 rabbit polyclonal antibody
別 名: SK1; PAPSS; ATPSK1
相關類別: 一抗
抗 原: PAPSS1
儲 存: 冷凍(-20℃)
宿 主: Rabbit
反應種屬: Human, Mouse
標 記 物: Unconjugate
克隆類型: rabbit polyclonal
技術規格
|
Background: |
Three-prime-phosphoadenosine 5-prime-phosphosulfate (PAPS) is the sulfate donor cosubstrate for all sulfotransferase (SULT) enzymes (Xu et al., 2000 [PubMed 10679223]). SULTs catalyze the sulfate conjugation of many endogenous and exogenous compounds, including drugs and other xenobiotics. In humans, PAPS is synthesized from adenosine 5-prime triphosphate (ATP) and inorganic sulfate by 2 isoforms, PAPSS1 and PAPSS2. |
|
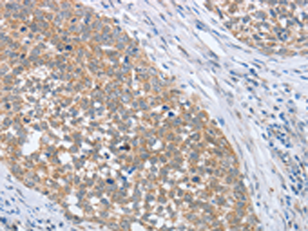
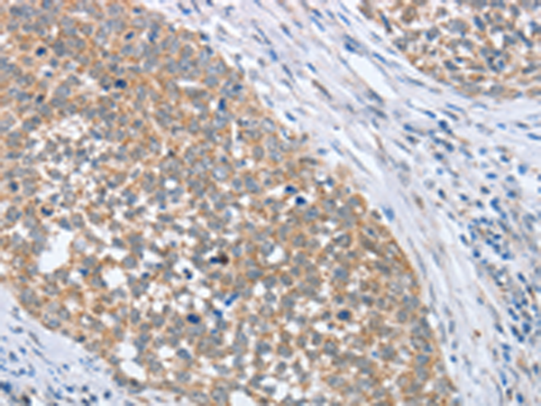
Applications: |
ELISA, IHC |
|
Name of antibody: |
PAPSS1 |
|
Immunogen: |
Fusion protein of human PAPSS1 |
|
Full name: |
3'-phosphoadenosine 5'-phosphosulfate synthase 1 |
|
Synonyms: |
SK1; PAPSS; ATPSK1 |
|
SwissProt: |
O43252 |
|
ELISA Recommended dilution: |
2000-5000 |
|
IHC positive control: |
Human cervical cancer and human gastric cancer |
|
IHC Recommend dilution: |
50-200 |
購物車
幫助
021-54845833/15800441009
