中文名稱: 兔抗ULK1多克隆抗體
|
Background: |
ULK1 and ULK2 (for UNC-51-like kinase) encode similar amino-terminal serine/threonine kinase domains, a proline/serine-rich (PS) domain, and a species conserved carboxyl-terminal domain. Both share homology with the UNC-51 kinase from Caenorhabditis elegans and the APG1 kinase in yeast, which are involved in axonal extension and growth, and autophagy, respectively. ULK1 maps to human chromosome 12q24.3 and is ubiquitously expressed . ULK2, also widely expressed, maps to mouse chromosome 11B1.3 and is expected to have a similar molecular weight as ULK1 in human. ULK1 and ULK2 are thought to auto-phosphorylate the PS domain in vitro, and the significant homology among vertebrates suggest that ULK1 and ULK2 are involved in the regulation of fundamental biological processes . |
|
Applications: |
ELISA, WB, IHC |
|
Name of antibody: |
ULK1 |
|
Immunogen: |
Synthetic peptide of human ULK1 |
|
Full name: |
unc-51 like autophagy activating kinase 1 |
|
Synonyms: |
ATG1; ATG1A; UNC51; hATG1; Unc51.1 |
|
SwissProt: |
O75385 |
|
ELISA Recommended dilution: |
5000-10000 |
|
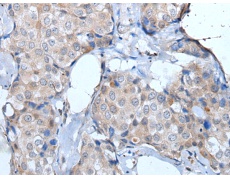
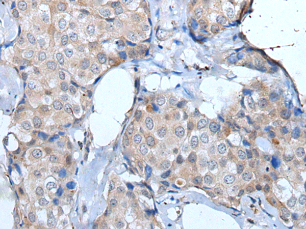
IHC positive control: |
Human breast cancer |
|
IHC Recommend dilution: |
20-100 |
|
WB Predicted band size: |
113 kDa |
|
WB Positive control: |
Hela cell lysate |
|
WB Recommended dilution: |
200-1000 |

購物車
幫助
021-54845833/15800441009
