|
Background: |
ER; ESR; Era; ESRA; ESTRR; NR3A1 |
|
Applications: |
WB, IHC |
|
Name of antibody: |
ESR1(Ab-537) |
|
Immunogen: |
Synthesized non-phosphopeptide derived from human Estrogen Receptor-α around the phosphorylation site of tyrosine 537 (P-L-Y(p)-D-L). |
|
Full name: |
estrogen receptor 1 |
|
Synonyms: |
ER; ESR; Era; ESRA; ESTRR; NR3A1 |
|
SwissProt: |
P03372 |
|
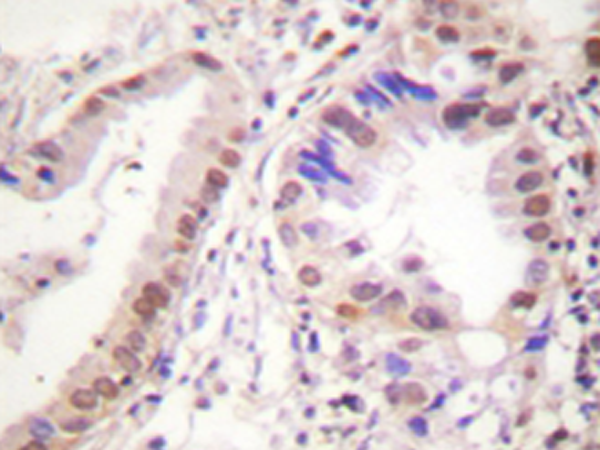
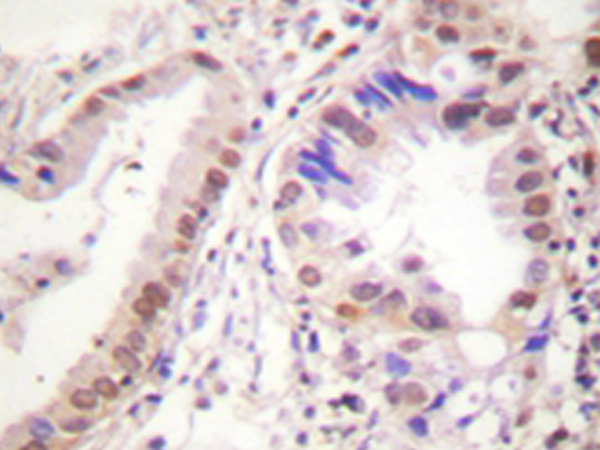
IHC positive control: |
Human lung carcinoma tissue |
|
IHC Recommend dilution: |
50-100 |
|
WB Predicted band size: |
66 kDa |
|
WB Positive control: |
293 cells lysate |
|
WB Recommended dilution: |
500-3000 |

購物車
幫助
021-54845833/15800441009
