中文名稱: 兔抗RCOR2多克隆抗體
英文名稱: Anti-RCOR2 rabbit polyclonal antibody
別 名: REST corepressor 2;
相關類別: 一抗
抗 原: RCOR2
儲 存: 冷凍(-20℃)
宿 主: Rabbit
反應種屬: Human, Mouse, Rat
標 記 物: Unconjugate
克隆類型: rabbit polyclonal
技術規格
|
Background: |
May act as a component of a corepressor complex that represses transcription. |
|
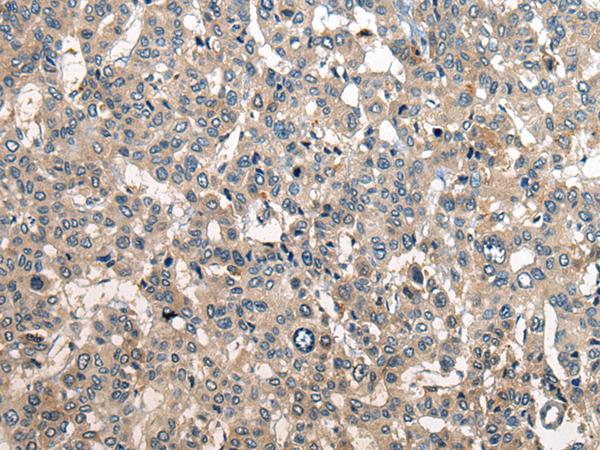
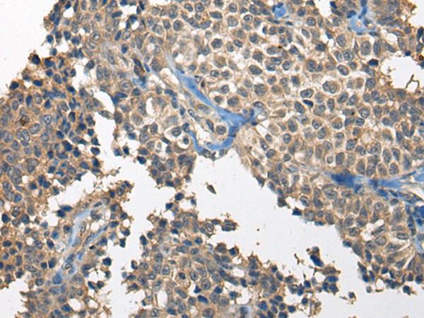
Applications: |
ELISA, IHC |
|
Name of antibody: |
RCOR2 |
|
Immunogen: |
Synthetic peptide of human RCOR2 |
|
Full name: |
REST corepressor 2 |
|
SwissProt: |
Q8IZ40 |
|
ELISA Recommended dilution: |
5000-10000 |
|
IHC positive control: |
Human liver cancer |
|
IHC Recommend dilution: |
25-100 |

購物車
幫助
021-54845833/15800441009
