中文名稱: 兔抗H2BC11多克隆抗體
英文名稱: Anti-H2BC11 rabbit polyclonal antibody
別 名: H2B clustered histone 11; H2BJ; H2B/r; H2BFR; HIST
相關類別: 一抗
儲 存: 冷凍(-20℃)
宿 主: Rabbit
抗 原: H2BC11
反應種屬: Human
標 記 物: Unconjugate
克隆類型: rabbit polyclonal
Background:
Histones are basic nuclear proteins that are responsible for the nucleosome structure of the chromosomal fiber in eukaryotes. Two molecules of each of the four core histones (H2A, H2B, H3, and H4) form an octamer, around which approximately 146 bp of DNA is wrapped in repeating units, called nucleosomes. The linker histone, H1, interacts with linker DNA between nucleosomes and functions in the compaction of chromatin into higher order structures. This gene is intronless and encodes a replication-dependent histone that is a member of the histone H2B family. Transcripts from this gene lack polyA tails but instead contain a palindromic termination element. This gene is found in the histone microcluster on chromosome 6p21.33. [provided by RefSeq, Aug 2015]
Applications:
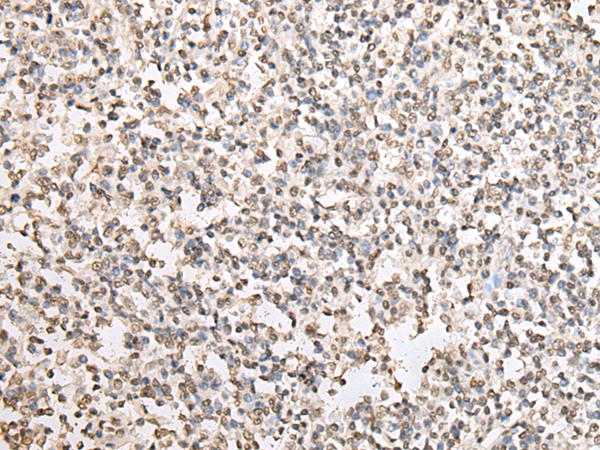
ELISA, IHC
Name of antibody:
H2BC11
Immunogen:
Synthetic peptide of human H2BC11
Full name:
H2B clustered histone 11
Synonyms:
H2BJ; H2B/r; H2BFR; HIST1H2BJ
SwissProt:
P06899
IHC positive control:
Human thyroid cancer and Human tonsil
IHC Recommend dilution:
25-100
技術規格



購物車
幫助
021-54845833/15800441009
