中文名稱: 兔抗TTC4多克隆抗體
技術規格
Background:
This gene encodes a protein that contains tetratricopeptide (TPR) repeats, which often mediate protein-protein interactions and chaperone activity. The encoded protein interacts with heat shock proteins 70 and 90. Alternative splicing results in multiple transcript variants. Naturally-occuring readthrough transcription occurs from upstream gene MROH (maestro heat-like repeat family member 7) to this gene.
Applications:
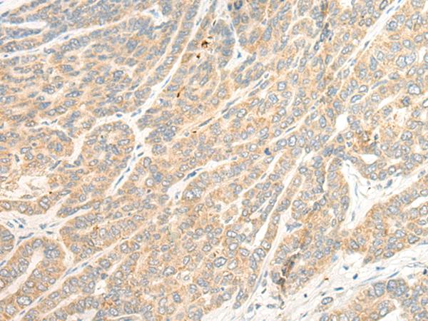
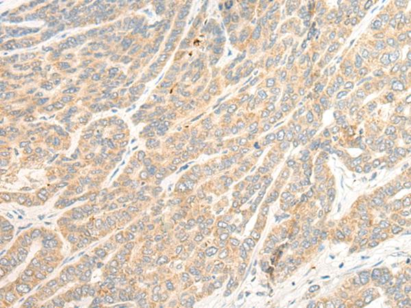
ELISA, IHC
Name of antibody:
TTC4
Immunogen:
Fusion protein of human TTC4
Full name:
tetratricopeptide repeat domain 4
SwissProt:
O95801
ELISA Recommended dilution:
5000-10000
IHC positive control:
Human liver cancer;
IHC Recommend dilution:
40-200

購物車
幫助
021-54845833/15800441009
