|
Background: |
This gene encodes a protein subunit of the GINS heterotetrameric complex, which is essential for the initiation of DNA replication and replisome progression in eukaryotes. Alternatively spliced transcript variants encoding distinct isoforms have been described. |
|
Applications: |
ELISA, IHC |
|
Name of antibody: |
GINS3 |
|
Immunogen: |
Fusion protein of human GINS3 |
|
Full name: |
GINS complex subunit 3 |
|
Synonyms: |
PSF3 |
|
SwissProt: |
Q9BRX5 |
|
ELISA Recommended dilution: |
5000-10000 |
|
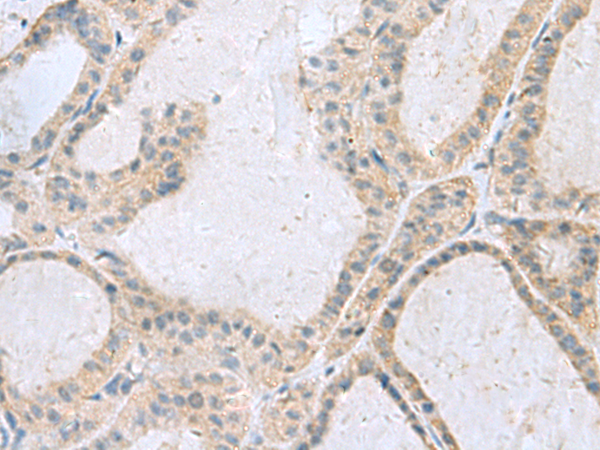
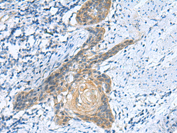
IHC positive control: |
Human esophagus cancer and Human thyroid cancer |
|
IHC Recommend dilution: |
50-100 |


購物車
幫助
021-54845833/15800441009
